Return to page
Search

H2O Label Genie

Nobody likes to label data. Let AI do it for you.

Rapidly annotate datasets supported in H2O Hydrogen Torch

H2O Label Genie logo light H2O Label Genie logo light

Features deep dive

 

Benefits

Security Security

Security

Keep your data secure within your environment while annotating it.

Available  as a fully managed solution hosted by H2O.ai or as a hybrid solution to run on the custom environment or VPCs.

Both deployment options are SOC2 compliant.

Speed Speed

Speed

Use the power of AI to speed up tedious data annotations. Gain 10x speed up or even fully automate your data annotation worfklow.

Flexible Flexible

End-to-end solution

Use the annotated data to build solutions to your business problems. H2O platform provides the full set of tools for it:

Traing state of the art deep learning models with H2O Hydrogen Torch.

Deploy the models to H2O MLOps and use them in your environment.

Your Data - Your AI

Use H2O Label Genie together with H2O Hydrogen Torch to train your own deep learning models.

Agricultural applications

Annotation of apples Annotation of apples

Sentiment analysis

screenshot of label genie identifying a review as negative with highlighted words screenshot of label genie identifying a review as negative with highlighted words

Sports analytics

Annoation of footbal plays Annoation of footbal plays

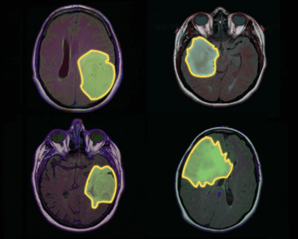
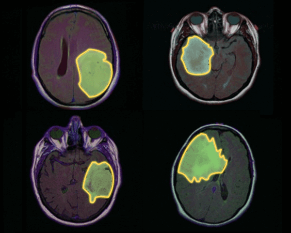
Medical imaging

Brain MRI Brain MRI

AI for Good

Deforestation Deforestation

Disaster management

Flood car detection Flood car detection

We support a range of use cases across multiple industries, including real-time and batch applications with extremely large models, such as LLMs and tiny AI models, designed for edge devices.

Annotate any unstructured data

Data types Data types

Data types

  • Texts and documents

  • Images and video frames

  • Audio recordings

Deep Learning Deep Learning

Deep Learning tasks

  • Classification

  • Regression

  • Object Detection

  • Instance Segmentation

  • Entity recognition

  • Summarization

H2O Label Genie logo light H2O Label Genie logo light

Learn More

H2O Label Genie is available in the H2O AI Cloud. Request for an H2O team member to walk you through a demo.